Lưu trữ tác giả: Admin
Cách sử dụng kháng sinh dự phòng nhiễm trùng sau mổ
Nhiễm trùng sau mổ có thể xảy ra sau bất kỳ ca phẫu thuật nào,...
Trẻ nhỏ bị ho nên uống thuốc gì?
Ho là triệu chứng phổ biến mà hầu hết trẻ nhỏ đều trải qua ít...
Mất nước do tiêu chảy có nguy hiểm không?
Tiêu chảy là một trong những tình trạng sức khỏe phổ biến, đặc biệt là...
Thường xuyên ngủ ngáy cảnh báo bệnh lý gì?
Ngủ ngáy (snoring) là một tình trạng phổ biến mà trong đó người ngủ phát...
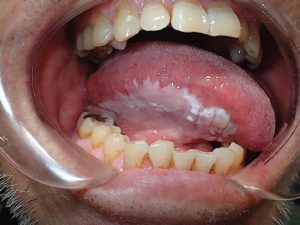
Bạch sản niêm mạc miệng: Triệu chứng và nguyên nhân gây bệnh
Bạch sản niêm mạc miệng là một tình trạng trong đó có sự xuất hiện...
Hồi hộp đánh trống ngực: Triệu chứng cảnh báo bệnh lý gì?
Hồi hộp đánh trống ngực là cảm giác bất thường thường xuyên xảy ra, khiến...
Bệnh lý phình đĩa đệm nguy hiểm như thế nào?
Bệnh lý phình đĩa đệm (hoặc thoát vị đĩa đệm) là tình trạng khi đĩa...
Polyp đại tràng có gây ung thư đại tràng không?
Polyp đại tràng là những khối u nhỏ xuất hiện trên niêm mạc của đại...
Công dụng của cây bạc hà trong Đông Y
Cây bạc hà (Mentha) từ lâu đã được sử dụng trong nhiều nền y học...
Ung thư não có triệu chứng như thế nào?
Ung thư não là một trong những căn bệnh nghiêm trọng, có thể ảnh hưởng...
Bệnh bạch biến: Biểu hiện và triệu chứng
Bệnh bạch biến là một rối loạn da mạn tính gây ra mất màu sắc...
Trẻ bị viêm họng kéo dài, cha mẹ cần làm gì?
Viêm họng là một bệnh thường gặp ở trẻ em, nhất là trong những thời...
Những điều cần biết về tăng động ở trẻ mà cha mẹ cần chú ý
Tăng động ở trẻ là một vấn đề phổ biến gặp phải trong giai đoạn...
Bệnh u não có những thể bệnh nào?
Bệnh u não là một trong những căn bệnh nguy hiểm, việc phân loại một...
Trong Đông Y trị cảm cúm như thế nào?
Trong khi y học hiện đại có nhiều phương pháp điều trị hiệu quả, y...
Một số bệnh truyền nhiễm ngoài cộng đồng thường gặp
Trong cộng đồng, có nhiều loại bệnh truyền nhiễm thường gặp, và việc hiểu rõ...
Cử nhân Hộ sinh chia sẻ chế độ dinh dưỡng cho phụ nữ mãn kinh
Đối với những phụ nữ bước vào giai đoạn tiền mãn kinh, người phụ nữ...
Không thể thiếu thói quen này nếu muốn thận khỏe mạnh
Thận là cơ quan thực hiện nhiều chức năng của cơ thể, quan trọng nhất...
Vi khuẩn Neisseria meningitidis gây ra những bệnh gì?
Neisseria meningitidis, còn được gọi là vi khuẩn màng não mô cầu, là một loại...
Cách phát hiện sớm bệnh Kawasaki ở trẻ nhỏ
Bệnh Kawasaki, còn được gọi là hội chứng hạch bạch huyết niêm mạc, là một...
