Lưu trữ danh mục: Bệnh Tiêu Hóa
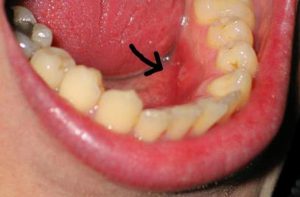
Những dấu hiệu của bệnh ung thư khoang miệng không thể bỏ qua
Đừng chủ quan với những đốm nhỏ màu trắng đục, vết loét, vết chồi lâu...
Sự cần thiết của tầm soát ung thư miệng để không hối tiếc
Ngày nay, khi xã hội càng phát triển thì các bệnh ung thư ngày càng...
Bố mẹ nên lưu ý con trẻ dễ mắc bệnh túi thừa Meckel
Bệnh viêm túi thừa Meckel có triệu chứng và dấu hiệu giống viêm ruột thừa...
Những bệnh tiêu hóa thường gặp ở trẻ nhỏ
Bệnh tiêu hóa là một trong số những căn bệnh thường gặp ở trẻ nhỏ....
Điểm mặt nguyên nhân gây ra ung thư cổ họng
Ngày nay, có nhiều người mắc bệnh ung thư cổ họng do thói quen sống...
Phương pháp điều trị và phòng ngừa bệnh sỏi mật
Bệnh sỏi mật có thể sẽ để lại nhiều biến chứng nếu không được điều...
Nguyên nhân và triệu chứng nhận biết bệnh sỏi mật
Phụ nữ là những người có nguy cơ mắc bệnh sỏi mật cao nhất khi...
Nguyên nhân gây ra bệnh tiểu đường và những kiến thức cần biết
Tiểu đường hay bệnh tiểu đường là một bệnh khá phổ biến ở nước ta...
Phương pháp điều trị táo bón hiệu quả cho bé không cần dùng thuốc
Khi bé bị táo bón dùng các thực phẩm nhuận tràng, một số bài thuốc...
Các bệnh lý về tiêu hóa thường gặp
Hiện nay tình trạng thực phẩm bẩn nhiều, cùng với thói quen sinh hoạt không...
Những thông tin về bệnh viêm đại tràng mà mọi người nên biết
Bệnh viêm đại tràng là bệnh gặp ở khá nhiều người hiện nay. Ở giai...
Bệnh học rối loạn tiêu hóa và những điều cần biết
Bệnh rối loạn tiêu hóa là hội chứng thường gặp, gây nên những khó khăn...
Mách mẹ những bài thuốc dân gian đặc trị bệnh tiêu chảy cho trẻ
Trẻ em sức đề kháng và hệ tiêu hóa chưa được hoàn thiện đầy đủ,...
Quả trám và những bài thuốc cổ phương từ quả trám
Trám là một món ăn dân dã, ngon và hấp dẫn trong bữa cơm của...
Kiến thức cơ bản khi trẻ bị tiêu chảy – Bạn có biết?
Tiêu chảy là bệnh xảy ra quanh năm và mọi người đều có thể mắc,...
8 mẹo dân gian trị tiêu chảy cực đơn giản tại nhà
Bệnh tiêu chảy nếu không được điều trị có thể nguy hiểm đến tính mạng,...
Mướp hương – Vị thuốc đa năng bạn có biết?
Mướp hương thuộc họ bí, theo Y học cổ truyền, mướp có vị ngọt, tính...
Bệnh Đau Dạ Dày Cấp Nguyên Nhân Và Cách Xử Trí
Bệnh học chuyên khoa đau dạ dày cấp là một bệnh dễ gặp trong cộng...
Thông Tin Về Viêm Đại Tràng Mạn Tính
Theo bệnh học chuyên khoa viêm đại tràng mạn tính một bệnh thường gặp, trong...
Tìm Hiểu Bệnh Đái Tháo Đường Ở Trẻ Em
Các chuyên gia bệnh học cho biết bệnh đái tháo đường ở trẻ em mắc...
